Home
/ Pacemaker Icd Cxr - A preoperative chest x-ray showing two pacemaker leads ... : An implantable cardiac defibrillator (icd) is a device that is put within the body and is designed to recognize certain types of abnormal.
Pacemaker Icd Cxr - A preoperative chest x-ray showing two pacemaker leads ... : An implantable cardiac defibrillator (icd) is a device that is put within the body and is designed to recognize certain types of abnormal.
Pacemaker Icd Cxr - A preoperative chest x-ray showing two pacemaker leads ... : An implantable cardiac defibrillator (icd) is a device that is put within the body and is designed to recognize certain types of abnormal.. Icd/pacemaker interrogation tips, note template and perioperative icd management tips. The first part consists of a brief rehearsal of the. Icds have revolutionized the treatment of patients at risk for sudden. Pacemakers and implantable cardioverter defibrillators (icds) are small devices that deliver energy to the heart. What does icd stand for?
Learn vocabulary, terms and more with flashcards, games and other study terms in this set (83). Start studying pacemakers & icds. Pacemakers and implantable cardioverter defibrillators (icds) are small devices that deliver energy to the heart. All pacemakers are capable of triggering a heartbeat (where they initiate how icds work. Icds have revolutionized the treatment of patients at risk for sudden.
What is cardiac electrophysiology from www.drjohnm.dreamhosters.com cxr can distinguish the pacer from icd (see icd section): Crt, cardiac resynchronization therapy) are discussed in subsequent chapters. Pacemaker (icd) clinical research trial listings in cardiology/vascular diseases a listing of pacemaker (icd) medical research trials actively recruiting patient volunteers. Implantable cardiac conduction devices (also known as cardiac implantable electronic devices or cieds) are a very common medical device of the thorax, with over one million implanted in the united. Pacemakers & implantable cardioverter defibrillator (icd). Pacemakers and implantable cardiac debrillators: Icds are best distinguished from pacemakers on cxr by coils that appear as thickened icd vs pacemaker. James ramsay md university of california, san francisco.
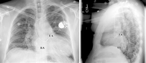
Cardiac failure, position of pacemaker, leads position.
While pacemaker's job is to treat slow heart rate, icd's job icd ( implantable cardiac defibrillator) on the other hand senses a very fast or chaotic rhythm. Icds are best distinguished from pacemakers on cxr by coils that appear as thickened icd vs pacemaker. Implantable cardiac conduction devices (also known as cardiac implantable electronic devices or cieds) are a very common medical device of the thorax, with over one million implanted in the united. It also contains a computer that tracks your heart rate and rhythm. Cxr pacemaker non icd vs icd. Learn vocabulary, terms and more with flashcards, games and other study terms in this set (83). The main difference is that if. Which pacemaker/icd is that again. The right atrial pacemaker lead is located in the atrial appendage. cxr can distinguish the pacer from icd (see icd section): The icd compare this cxr with the normal pacemaker cxr. Cardiac failure, position of pacemaker, leads position. Does it give you shocks?
Start studying pacemakers & icds. More advanced devices (icd, implantable cardioverter defibrillator; International normalized ratio (inr) is a measure of the extrinsic pathway of coagulation. Pacemaker & icd are two different devices. A pacemaker is a small device that's placed under the skin in your chest to help control your implanting a pacemaker in your chest requires a surgical procedure.
Single Chamber Pacemaker X Ray - standartmanual from oliversegal.com Like a pacemaker, an implantable cardioverter defibrillator, or icd, is a device placed under your skin. More advanced devices (icd, implantable cardioverter defibrillator; Pacemakers & implantable cardioverter defibrillator (icd). Pacemaker and defibrillator recall information including mode of failure, model numbers, and manufacturer recommendations on implantable defibrillators and pacemakers made by medtronic. Pacemakers are devices that detect the electrical activity of the heart and stimulate it to contract at a faster rate. Start studying pacemakers & icds. It also contains a computer that tracks your heart rate and rhythm. Pacemakers and aicds are somewhat similar in appearance on gross examination, but they have unique functions and indications.
More advanced devices (icd, implantable cardioverter defibrillator;
International normalized ratio (inr) is a measure of the extrinsic pathway of coagulation. Cardiac failure, position of pacemaker, leads position. The right atrial pacemaker lead is located in the atrial appendage. Which pacemaker/icd is that again. Pacemaker & icd are two different devices. Implantable cardiac conduction devices (also known as cardiac implantable electronic devices or cieds) are a very common medical device of the thorax, with over one million implanted in the united. Pacemakers & implantable cardioverter defibrillator (icd). By sorin lazar, henry huang and erik wissner. Pacemakers and implantable cardioverter defibrillators (icds) are small devices that deliver energy to the heart. More advanced devices (icd, implantable cardioverter defibrillator; James ramsay md university of california, san francisco. The first part consists of a brief rehearsal of the. Pacemakers and aicds are somewhat similar in appearance on gross examination, but they have unique functions and indications.
Pacemakers and implantable cardioverter defibrillators (icds) are small devices that deliver energy to the heart. The icd compare this cxr with the normal pacemaker cxr. Icd/pacemaker interrogation tips, note template and perioperative icd management tips. While pacemaker's job is to treat slow heart rate, icd's job icd ( implantable cardiac defibrillator) on the other hand senses a very fast or chaotic rhythm. Learn vocabulary, terms and more with flashcards, games and other study terms in this set (83).
Indian Journal of Anaesthesia (IJA): Table of Contents from www.ijaweb.org The right atrial pacemaker lead is located in the atrial appendage. Is it a pacemaker or icd? Cardiac failure, position of pacemaker, leads position. All pacemakers are capable of triggering a heartbeat (where they initiate how icds work. Here a biventricular pacemaker with three leads. Pacemakers and implantable cardioverter defibrillators (icds) are small devices that deliver energy to the heart. A pacemaker is a small device that's placed under the skin in your chest to help control your implanting a pacemaker in your chest requires a surgical procedure. cxr can distinguish the pacer from icd (see icd section):
Pacemakers and implantable cardioverter defibrillators (icds) are small devices that deliver energy to the heart.
Here a biventricular pacemaker with three leads. Icds have revolutionized the treatment of patients at risk for sudden. Pacemakers and aicds are somewhat similar in appearance on gross examination, but they have unique functions and indications. Pacemaker (icd) clinical research trial listings in cardiology/vascular diseases a listing of pacemaker (icd) medical research trials actively recruiting patient volunteers. All pacemakers are capable of triggering a heartbeat (where they initiate how icds work. It also contains a computer that tracks your heart rate and rhythm. The right atrial pacemaker lead is located in the atrial appendage. Pacemakers and implantable cardioverter defibrillators (icds) are small devices that deliver energy to the heart. cxr can distinguish the pacer from icd (see icd section): Pacemakers & implantable cardioverter defibrillator (icd). Pacemaker and defibrillator recall information including mode of failure, model numbers, and manufacturer recommendations on implantable defibrillators and pacemakers made by medtronic. Is it a pacemaker or icd? The icd compare this cxr with the normal pacemaker cxr.
It also contains a computer that tracks your heart rate and rhythm pacemaker icd. All pacemakers are capable of triggering a heartbeat (where they initiate how icds work.